Prodotto
News
Case History
Ricerca
Contatti
Social Sharing:
Dott. Romano
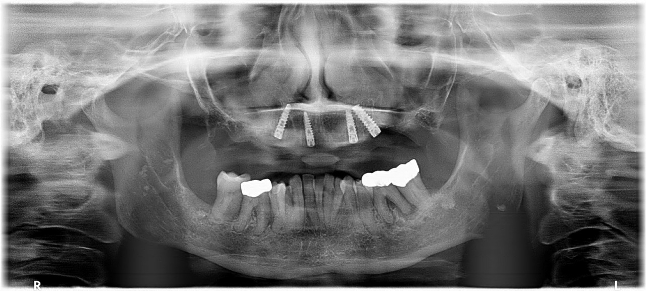
Dott. Romano Caso 1
Caso 1
navigation
←
Previous
Next
→